Vitamina D anche per le parodontiti? Case Report
la vitamina D svolge un ruolo nella salute delle ossa e nella modulazione del sistema immunitario, ne abbiamo parlato più volte.
Si è ipotizzato che la carenza di vitamina D possa contribuire alla malattia parodontale, cioè all'infezioni e all'infiammazioni delle gengive e delle ossa che circondano i denti.
Sembra che la correzione di questa carenza possa migliorare questa condizione, sebbene le prove dalle ricerche osservazionali siano state miste come risultati.
Tuttavia, in una segnalazione di parodontite grave, in una donna di 40 anni con un basso livello di vitamina D (15,2 ng/ml), che non ha risposto adeguatamente alla terapia non chirurgica (es. ridimensionamento e pianificazione radicolare) l'aumento dei livelli di vitamina D della donna prima della somministrazione del successivo trattamento parodontale ha consentito ai dentisti di correggere la parodontite della paziente.
Gli autori hanno affermato che "la carenza di vitamina D dovrebbe essere sospettata, studiata ed eventualmente trattata, nel caso di situazioni parodontali che non migliorano dopo il trattamento convenzionale"
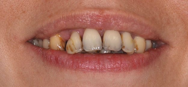
prima (bassi livelli di Vitamina D + trattamento parodontale):

dopo (normali livelli di Vitamina D + trattamento parodontale):

Un'altra conferma che questa importante Vitamina ha un ruolo cruciale nella modulazione e nella regolazione del sistema immunitario e della risposta ai trattamenti.
Ricordiamoci al banco di chiedere sempre se il paziente conosce i propri livelli di Vitamina D nel sangue (9 volte su 10 la risposta è no!
***
Ti è piaciuto l'articolo o vuoi maggiori informazioni?
Clicca qui sotto e scrivi la tua domanda. Ti risponderemo nel più breve tempo possibile.
***

